Sep 25, 17 · Despite recent modifications, the AO classification system for proximal humerus fractures plays a rather scientific role and—in contrast to other fracture sites—has not found its way into clinical use due to its complexity with a total of 27 subtypes 14, 15As a supplement to the CodmanHertel classification system, Resch proposed a classification addressing fractureMake a 1214 cm long skin incision between the coracoid process and the proximal humeral shaft The shape of the skin incision can be straight or curved depending on surgeon's preference For an arthroplasty for degenerative diseases, a rather vertical incision may be preferred (dashed line) 4The classification of proximal humeral fractures with both the Neer and the AO systems remains difficult with minimal improvements seen when reducing the number of categories in each classification system From these results, the Neer classification system would appear slightly more useful in clinic
Locking Plate Fixation For Proximal Humerus Fractures When Do I Use A Fibular Strut Stone Annals Of Joint
Ao proximal humerus nail
Ao proximal humerus nail-Fractures of the proximal humerus were examined with anteroposterior, lateral, and axillary radiographs Three independent reviewers classified the fractures using the AO, Neer, and HGLS systems Reclassification of the same fractures was undertaken after a 6month interval, and interobserver and intraobserver correlation, by use of the κ statistic, was calculated for all 31 Introduction Plating of proximal humeral shaft fractures may be performed through the anterolateral approach This approach can be extended distally for midshaft fractures 2 Skin incision The complete incision is illustrated here Depending on the fracture and its location, a smaller section might be used The incision follows a line extending from the interval distally between biceps and the mobile wad (brachioradialis and the wrist extensors) to the deltopectoral interval proximally



Ao 18
Etymology The word "humerus" is derived from Latin humerus, umerus meaning upper arm, shoulder, and is linguistically related to Gothic ams shoulder and Greek ōmos Structure Upper extremity The upper or proximal extremity of the humerus consists of the bone's large rounded head joined to the body by a constricted portion called the neck, and two eminences, the greaterA proximal humerus fracture is a break of the upper part of the bone of the arm () Symptoms include pain, swelling, and a decreased ability to move the shoulder Complications may include axillary nerve or axillary artery injury The cause is generally a fall onto the arm or direct trauma to the arm Risk factors include osteoporosis and diabetes Diagnosis is generally based on XraysAO Principles MultiLoc Proximal Humeral Nail Technique Guide Synthes 5 6 Synthes MultiLoc Proximal Humeral Nail Technique Guide The MultiLoc Proximal Humeral Nail is indicated for fractures of the proximal humerus, including – 2part surgical neck fractures – 3part fractures
Introduction Proximal humerus fractures (PHF) constitute the majority of the most common osteoporotic fractures Bone density measurements can affect treatment methods and outcomes This study was aimed to investigate the effect of osteoporosis values, measured from direct radiographs, on fracture type, surgical outcomesPalpate the axillary nerve on the deep surface of the deltoid muscle, distal to the incision This nerve encircles the proximal humerus a little less than half way from the lateral margin of the acromion to the insertion of the deltoid muscle Hemorrhagic subdeltoid bursal tissue may need to be excised to expose the humeral headWorkshop in fixation of proximal humerus fractures via deltopectoral approach using Proximal humerus internal locking system(PHILOS) Wwith important pearls&p
In proximal humeral fractures which consist of a fracture of the greater tuberosity the trajectory of bent nails often passes through the fracture line between the greater tuberosity and the humeral head whereas straight nails penetrate the humeral head medial to the fracture line Fixation pattern of31 Proximal humerus References 110 Kralinger F, Blauth M, Goldhahn J, et al The Influence of Local Bone Density on the Outcome of One Hundred and Fifty Proximal Humeral Fractures Treated with a Locking J Bone Joint Surg Am 14 Jun 18;96 (12)1026–1032 Olerud P, Ahrengart L, Ponzer S, et al Internal fixation versus nonoperativeHouwert R, van Heijl M, Smeeing D, et al Similar functional outcome between nonoperative and operative treatment for proximal humerus fractures J Shoulder Elbow Surg 18;27(8) AO Principles of Fracture Management is an essential resource for orthopedic trauma surgeons and residents in these specialties



Proximal Humerus Fracture Classifications Shoulderdoc



Proximal Humerus Overview Management Summary Content Prepared By
Of a proximal humeral fracture, shoulder arthroplasty, anterior capsular shift, and subscapularis repair We prefer this approach for shoulder arthroplasty and for plateandscrew fixation of proximal humeral fractures because it affords greater visualization than does the lateral approach The axillary nerve should be palJul 06, · A proximal humerus fracture is a common injury to the shoulder Especially common in elderly individuals due to osteoporosis, proximal humerus fractures are among the most common broken bones in the shoulder In fact, in patients older than 65, proximal humerus fractures are the third most common broken bone (after hip fractures and wristThe anterolateral approach to the humerus provides excellent exposure to the humeral shaft, especially to more proximal aspects In addition, the approach can be extended both proximally and distally, providing the surgeon a dynamic exposure to the humerus for the treatment of fractures and other pathologies (AO/OTA 12 A3b) This was a



Proximal Humerus Fractures Trauma Orthobullets



Deltopectoral Approach To The Proximal Humerus
May 14, 21 · Proximal Humerus Fracture Habermeyer Classification Type 0 One part, nondislocated Type A Two part fractures A1 Gr tuberosity avulsion Lesser tuberosity avulsion Type B Surgical neck B1 2 part fracture B2 3 part, surg neck and one tuberosity 4 part, surg neck and both tuberosity Type C Anatomical neck fracture, high risk of head AVNProximal Humeral Plating System The AOS PHP is indicated for fractures, fracture dislocations, osteotomies, and nonunions of the proximal humerus The PHP is an anatomically designed, low profile, titanium locking plate and screw system The ALPHA Plate and the Deltoid InsertionThis video demonstrates the surgical technique how to create a proximal humerus fracture More videos of surgical techniques of the shoulder can be found on



Ao Ota Classification Of Distal Humeral Fractures Radiology Case Radiopaedia Org



Proximal Humerus Fractures Ppt Video Online Download
Mar , · Included patients (n=124) had OTA/AO 11B2 or 11C2 fractures with >45° valgus or >30° varus in the anteroposterior view, or >50% displacement of the humeral head Using the Constant shoulder score as the primary outcome measure, the authors demonstrated both a statistically significant and clinically meaningful difference favoring rTSA inUpper Extremity (Humeral) Nonunions A 64yearold female sustained a leftsided proximal humerus fracture (AO/OTA Type 121) and was initially treated at an outside hospital with a functional fracture brace She was referred to David L Helfet, MD at the Orthopedic Trauma Service of Hospital for Special Surgery 4 months following herJun 04, 17 · The proximal humeral articular surface is a segment of a sphere that measures from 37 to 57 mm in diameter 5 The average neck angle is 130° The humeral head average offset from the shaft is 3 mm posterior and 7 mm medial The most superior portion of the humeral head is typically 8 mm above the height of the greater tuberosity 2



Jaypeedigital Ebook Reader



Proximal Humerus Fractures
About Press Copyright Contact us Creators Advertise Developers Terms Privacy Policy & Safety How works Test new features Press Copyright Contact us CreatorsProximal third humeral shaft fractures a fracture entity not fully characterized by conventional AO classification There is clear evidence of specific characteristics which differentiate proximal third humeral shaft fractures from those of midshaft and distal third They explain the specific problems of reduction and fixationJun 22, 21 · Proximal humerus fractures (PHF) are very common and a serious health problem They are the seventh most frequent fractures in adults Their prevalence varies from 4 to 10% of all fractures, according to several studies conducted in different populations Their treatment is sometimes controversial and some cases may be technically challenging



Muller Ao Classification Of Fractures Wikiwand



Proximal Humerus Fractures 1 Ota Lecture Series Iii U03a Youtube
Proximal humeral fractures are commonly encountered in the emergency department Neer classification is the most widely used approach to fracture description While radiographs and CTs are frequently used in the setting of proximal humeral fractures, MRI is rarely used Avascular necrosis of the humeral head is associated withProximal humerus fractures • Third most common fracture only behind hip and distal radius • Account for about 5% of all fractures CourtBrown CM, Caesar B Injury 06;Feb 25, 13 · The fractures were classified according to the Neer and the AO/OTAclassification by two experienced trauma surgeons with a special interest in proximal humeral fractures in a consensus conference Based on plain radiographs and CTscans Kettler et al 26 classified 225 displaced 2, 3 and 4part fractures (mean age 66) in patients treated with locking plates



Operative Treatment Of 2 Part Surgical Neck Fractures Of The Proximal Humerus Ao 11 A3 In The Elderly Cement Augmented Locking Plate Philos Vs Proximal Humerus Nail Multiloc Topic Of Research Paper In



Translation Between The Neer And The Ao Ota Classification For Proximal Humeral Fractures Do We Need To Be Bilingual To Interpret The Scientific Literature Semantic Scholar
Subscribe for more lectures https//wwwyoutubecom/user/OrthopaedicPrincipleThe proximal humerus is exposed through a deltopectoral approach, as described for TSA or hemiarthroplasty The general steps for implantation are as follows • The center of the humeral head is located • A drill hole is made into the center mark of the head at a 135degree angle for the shaft and perpendicular to the surface4 DePuy Synthes LCP Periarticular Proximal Humerus Plate 35 Surgical Technique AO Principles In 1958, the AO formulated four basic principles, which have become the guidelines for internal fixation1, 2 Those prin ciples as applied to the LCP Periarticular Proximal Humerus



Ao Ota Classification Of Proximal Humerus Fractures Reproduced With Download Scientific Diagram



Proximal Humerus Fractures 3d Models Used For Classification Of Download Scientific Diagram
The ALPS Proximal Humerus Plating System is designed to provide intraoperative flexibility and efficiency to the surgical team The ALPS Proximal Humerus Plating System is designed to minimize the risk of some of the complications commonly associated with treating proximal humerus fractures by its design toJun 05, 16 · AO Classification of Proximal Humeral Fractures Based on AO classification, the proximal end of the humerus is delineated by a square with its lateral side equal to the maximum width of the epiphysis The AO coding of a proximal humerus fracture is " 1 1," and is further divided into three categories based on the severity of injury typesFixation system for the proximal humerus Surgical Technique This publication is not intended for distribution in the USA Instruments and implants approved by the AO Foundation PHILOS and PHILOS Long Surgical Technique DePuy Synthes 1 Introduction Surgical Technique Product Information Bibliography 26 MRI Information 28



Ao 18



The Three Types And Nine Groups Of The Ao Classification For Proximal Download Scientific Diagram
MultiLoc Humeral Nailing System 2 AO Principles 4 Indications 5 Screw Configuration 6 MultiLoc Proximal Humeral Nail (short) 6 MultiLoc Humeral Nail (long) 8 Clinical Cases 10 Preoperative Planning 13 Patient Positioning and Approach 14 Entry Point 18 Opening of the HumerusThe AO/OTA classification of distal humeral fractures is one of the most frequently used systems for classifying distal humeral fracture s The AO classification divides distal humeral fractures into three groups, A, B and C with complexity and severity increasing 1 type A extraarticular A1 avulsion A11 lateral epicondyle;The AO classification of proximal humeral fractures, along with the Neer classification, is one of the most frequently used systems for classifying proximal humeral fractures The AO classification divides proximal humeral fractures into three groups, A, B and C, each with subgroups, and places more emphasis on the blood supply to the articular surface 1,2



The Three Types And Nine Groups Of The Ao Classification For Proximal Download Scientific Diagram



Proximal Humeral Fractures
Jun 09, · A number of classification systems of the proximal humerus are described in the literature, with the Neer and Arbeitsgemeinschaft für Osteosynthesefragenbeing (AO) the most widely used A simpler modified Neer system using only six fracture types is described by Bernstein but is not in common use 7Proximal Humerus Fractures Reliability of Neer Versus AO Classification on Plain Radiographs and Computed Tomography Cureus Jun 9;12(6)e85 doi /cureus85 Authors Michael StoddartProximal Humerus Fractures Proximal humerus fractures are common fractures often seen in older patients with osteoporotic bone following a groundlevel fall on an outstretched arm Diagnosis is made with orthogonal radiographs of the shoulder



Scielo Brasil Reproducibility Of Three Classifications Of Proximal Humeral Fractures Reproducibility Of Three Classifications Of Proximal Humeral Fractures



Humerus Ao Ota Classification Reprinted With Permission Copyright By Download Scientific Diagram
The 35 mm LCP Proximal Humerus Plate is part of the small fragment LCP system This plate addresses complex fractures of the proximal humerus The 35 mm LCP Proximal Humerus Plate is indicated for fractures and fracture dislocations, osteotomies and nonunions of the proximal humerus, particularly for patients with osteopenic bone IndicationsHumerus, proximal 11A fractures are divided into three groups of increasing severity It should be noted that a fracture line involving the metaphysis may reach the lowest part of the head Similarly, a fracture line involving the greater tuberosity, may reach the uppermost part of the head These features do not impair the articulationOct 11, 19 · Hippocrates first documented a proximal humerus fracture in 460 BCE and treated it with traction In 1869, to improve treatment, Krocher



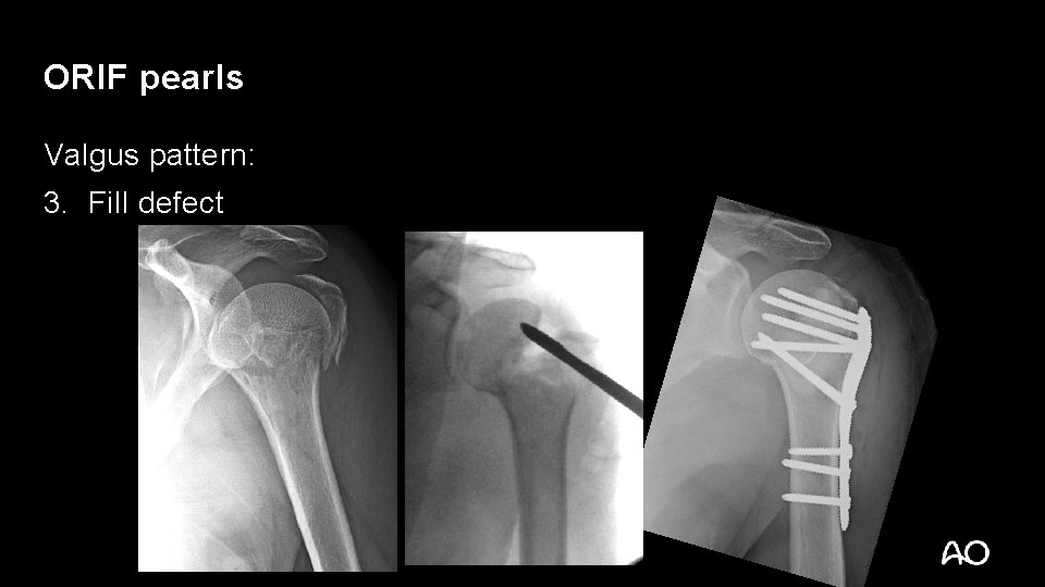
Orif Plate Fixation For 4 Part Slight Displacement Valgus Malalignment



Touch Surgery By Digital Surgery Auf Twitter We Re Excited To Announce The Release Of Our Latest Orthopaedics And Trauma Procedure Ao Proximal Humerus Multifragmentary Fracture Developed In Collaboration With Aofoundation Learn More
The ALPS Proximal Humerus Plating System is indicated for fixation of fractures and fracture dislocations, fusions, osteotomies, and nonunions of the humerus, particularly in osteopenic bone This system offers an extensive selection of anatomically contoured plates, which are available in a variety of lengths and in two styles toSep 04, 13 · BACKGROUND Interobserver reliability for the classification of proximal humeral fractures is limited The aim of this study was to test the null hypothesis that interobserver reliability of the AO classification of proximal humeral fractures, the preferred treatment, and fracture characteristics is the same for twodimensional (2D) and three



Figure 3 From Medial Calcar Support And Radiographic Outcomes Of Plate Fixation For Proximal Humeral Fractures Semantic Scholar



Proximal Humeral Fracture Dislocation Ao Classification Radiology Case Radiopaedia Org



Proximal Humerus Fractures



Proximal Humeral Fracturesan Update On Treatment Protocols Ao



Acknowledgement Ao Faculty Lecture Archive Ppt Video Online Download



The Ao Ota Classification Consists Of Three Types Nine Groups And 27 Download Scientific Diagram



Orif Plate Fixation Proximal 1 3 For Multifragmentary Fracture Fragmentary Segment



Scielo Brasil Reproducibility Of Three Classifications Of Proximal Humeral Fractures Reproducibility Of Three Classifications Of Proximal Humeral Fractures



Translation Between The Neer And The Ao Ota Classification For Proximal Humeral Fractures Do We Need To Be Bilingual To Interpret The Scientific Literature Bmc Research Notes Full Text



Zgnpkok Iazicm



Predicting Patient Specific Mechanical Failure Of Proximal Humerus Fracture Plating With Computer Simulations Systemfix Ii



Ao Ota Classification Of Distal Humeral Fractures Wikidoc



A A 71 Year Old Female Patient Sustained Right Proximal Humerus Download Scientific Diagram



Fixation System For The Proximal Humerus Philos And Philos Long The Anatomic Screw Surgical Suture



Proximal Humerus Reduction Amp Fixation Open Reduction Plate Fixation Ao Surgery Reference Princess Zelda Shoulder Arms Character



Figure 1 From Management Of Proximal Humeral Fractures Based On Current Literature Semantic Scholar



Ao Proximal Humerus Multifragmentary Fracture Touch Surgery



Orif Plate Fixation Proximal 1 3 For Multifragmentary Fracture Fragmentary Segment



Ao Dialogue 3 07 By Ao Foundation Issuu



Ao 18



Proximal Humeral Fractures The Choice Of Treatment Springerlink



Instituts Guirado Continuity Solutions In The Proximal Humeral Third With Involvement Of The Neck And Troquiter Compatible With Ao Classification Fracture Type B2 Extra Articular Bifocal Fracture With Unimpacted Metaphyseal Fracture



Ao Asif Fracture Classification Plastic Surgery Key



Ao Asif Fracture Classification Plastic Surgery Key



Proximal Humerus Fractures Evaluation Management And Nonsurgical Treatment Sciencedirect



Pdf Ao Tension Band Technique Application In Proximal Humerus Fractures Semantic Scholar



Orif Plate Fixation For 4 Part Slight Displacement Valgus Malalignment



Ao Technical Commission Innovations By Ao Foundation Issuu



Proximal Humeral Fractures Musculoskeletal Key



Mipo Technique For Proximal Humerus Fracture



Humerus Shaft Musculoskeletal Key



Lcp Periarticular Proximal Humerus Plate 3 5 The Anatomic Fixation



Head Split Fractures Of The Proximal Humerus Springerlink



Proximal Humerus Approach Deltopectoral Approach To The Proximal Humerus Ao Surgery Reference



Anterolateral Approach



Locking Plate Fixation For Proximal Humerus Fractures When Do I Use A Fibular Strut Stone Annals Of Joint



Use Of Ao Distractor For Proximal Humerus



Proximal Humerus Fractures Trauma Orthobullets



Fracture Proximal Humerus Fixation With K Wires And External Fixator



Proximal Humerus Fracture Classification Eorif



Proximal Humerus Fractures



Fractures Musculoskeletal Key



Head Split Fractures Of The Proximal Humerus Springerlink



Proximal Humerus Approach Anterolateral Approach Ao Surgery Reference 546gpww2wxn8



Proximal Humerus Fracture Classifications Shoulderdoc



Proximal Humerus



Reverse Arthroplasty For 4 Part Dislocation Simple Metaphyseal Intact Articular



Trends In Epidemiology And Patho Anatomical Pattern Of Proximal Humeral Fractures Abstract Europe Pmc



Three Dimensional Models Increase The Interobserver Agreement For The Treatment Of Proximal Humerus Fractures Patient Safety In Surgery Full Text



Proximal Humerus Fractures Trauma Orthobullets



Proximal Humerus Fractures Classifications The Neer Ao Other Doctor Shoulder



Figure 2 From Plating In Proximal Humeral Fractures Semantic Scholar



Proximal Humerus Approach Anterolateral Approach Ao Surgery Reference Anatomical Terms Of Location Human Anatomy



Humerus Proximal Aocms



The Neer Four Segment Classification System For Proximal Humerus Download Scientific Diagram



6 2 1 Humerus Proximal Musculoskeletal Key



Proximal Humerus Fractures



Vas According Ao Classification In Proximal Humerus Fracture Download Table



Proximal Humerus Fractures



Figure 6 From The Arteries Of The Humeral Head And Their Relevance In Fracture Treatment Semantic Scholar



A A 51 Year Old Male Patient Sustained Right Proximal Humerus Download Scientific Diagram



Proximal Humerus Fracture Core Em



Proximal Humeral Fractures Classification And Treatment Springerlink



Threepart Proximal Humeral Fracture Case For Small Group



Epidemiology And Patho Anatomical Pattern Of 2 011 Humeral Fractures Data From The Swedish Fracture Register Bmc Musculoskeletal Disorders Full Text



Proximal Third Humeral Shaft Fractures A Fracture Entity Not Fully Characterized By Conventional Ao Classification Injury



Figure 1 From Functional Results Of Displaced Proximal Humerus Fractures In Children Treated By Elastic Stable Intramedullary Nail Semantic Scholar



Philos Plate Proximal Humerus Plate Ao Type 3 5mm आर थ प ड क इम प ल ट Zeus Orthocare Private Limited Ahmedabad Id



Classifications In Brief The Neer Classification For Proximal Humerus Fractures Abstract Europe Pmc



Proximal Humerus Fractures



Proximal Humerus Fractures Evaluation Management And Nonsurgical Treatment Sciencedirect



Trends In Epidemiology And Patho Anatomical Pattern Of Proximal Humeral Fractures Semantic Scholar

